Artrosis de cadera Coxartrosis

Introducción

La artrosis de cadera es una enfermedad muy frecuente. El cartílago de la articulación de la cadera se daña, lo que significa que la articulación deja de moverse con suavidad y la cadera empieza a sentirse rígida. Los síntomas suelen estar relacionados con el proceso de envejecimiento.

Esto se conoce comúnmente como desgaste de la cadera. Los especialistas prefieren utilizar el término coxartrosis.

artrosis de cadera saludable

Descripción de la afección

La articulación de la cadera se conoce como una "articulación esférica" y consiste en la porción del fémur que tiene la forma de una esfera, denominada cabeza del fémur, que encaja dentro de un hueco que existe en la pelvis. Ambos están cubiertos por una fina capa de cartílago. Esta capa funciona como un amortiguador y garantiza un deslizamiento óptimo de cada uno de los componentes óseos de la articulación. La osteoartrosis se asocia a un deterioro de la calidad del cartílago. Esto hace que la articulación se mueva con menos suavidad y que los choques se absorban con menos eficacia. El desgaste del cartílago puede provocar síntomas crónicos en la cadera.

La pérdida del cartílago hace que las estructuras óseas de la articulación entren cada vez más en contacto entre sí. Esto es doloroso y hace que la articulación pierda movilidad. En respuesta a este proceso, el cuerpo puede empezar a formar osteofitos. Esto significa que se producen crecimientos óseos anormales a lo largo de los bordes de la articulación que hacen que la articulación sea más ancha. Al ensanchar la articulación, la presión se distribuye sobre una superficie mayor. Es la forma que tiene el organismo de intentar limitar los efectos de la osteoartrosis.

Causa y origen

El paciente suele tener más de 60 años. Los síntomas se desarrollan gradualmente y, en la mayoría de los casos, llevan presentes varios meses. Al final todos desarrollamos osteoartrosis, es un proceso natural que forma parte del envejecimiento.

Signos y síntomas

  • Rigidez de la articulación de la cadera.
  • Rigidez matutina; el paciente necesita ponerse en marcha por la mañana antes de que desaparezca la peor rigidez.
  • La movilidad de la cadera está limitada en todas las direcciones de movimiento.
  • Los movimientos pasivos máximos dan lugar a una resistencia máxima al movimiento duro (contacto hueso con hueso).
  • La presión a lo largo de la parte delantera de la articulación de la cadera puede ser dolorosa.
  • Pérdida de fuerza al levantar la pierna lateralmente (abducción).

El signo de Trendelenburg se observa a menudo como resultado de la pérdida de fuerza. El paciente tiene una marcha de pato, con el tronco inclinado sobre el lado afectado.

Diagnóstico

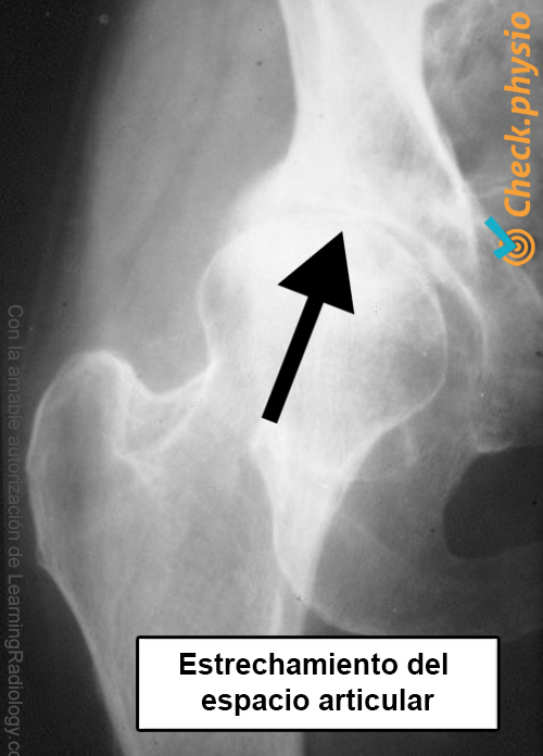
La exploración física en combinación con el relato del paciente suele ser suficiente para establecer el diagnóstico. Solo se hacen radiografías si hay dudas sobre el diagnóstico o si se está considerando la posibilidad de una intervención quirúrgica. En caso de osteoartrosis, el estrechamiento del espacio articular será visible en la radiografía. Además, pueden ser visibles otros efectos de la osteoartrosis, como la formación de osteofitos.

Tratamiento y recuperación

Los daños en el cartílago son irreversibles. El tratamiento está dirigido principalmente a reducir los síntomas. Es especialmente importante mantenerse en movimiento, sin sobrecargar la cadera. Tanto la fisioterapia como la terapia manual han demostrado su eficacia para aliviar el dolor asociado a la artrosis de cadera.

Si ambos tratamientos no contribuyen a una mejoría, se puede plantear la intervención quirúrgica. En caso de síntomas graves y crecientes, puede realizarse una sustitución de cadera (prótesis de cadera). Durante este procedimiento, se sustituirán la bola (cabeza del fémur) y/o la glena (cavidad de la pelvis) dependiendo del estado de cada una. Si se sustituye toda la articulación de la cadera por una prótesis, se habla de una "prótesis total de cadera".

Ejercicios

Para prevenir el deterioro de la cadera debido a la artrosis, es conveniente mantenerse en movimiento y realizar ejercicios diarios . Esto mantiene el cartílago sano y las caderas en forma.

Más información

Puede comprobar sus síntomas mediante el reconocimiento fisioterapéutico en línea o pedir cita en una consulta de fisioterapia de su zona.

Referencias

Nugteren, K. van & Winkel, D. (2009) Onderzoek en behandeling van artrose en artritis Houten: Bohn Stafleu van Loghum.

artrosis de cadera saludable
artrosis de cadera deteriorada
artrosis de cadera radiografía línea articular

Condiciones relacionadas

Ejercicios Empiece su reconocimiento